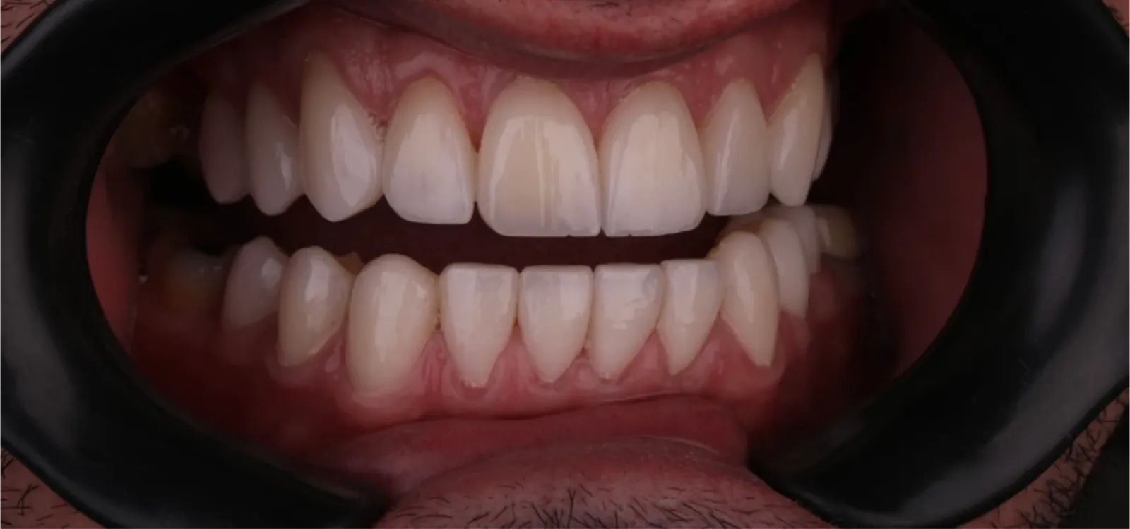
Veneers & Lumineers
The Art of Smile Transformation
Advanced Technology for Superior Results
Digital Smile Design (DSD)
Our Digital Smile Design technology revolutionizes the veneer process by allowing patients to see their future smile before treatment begins. This advanced system analyzes facial features, smile dynamics, and aesthetic preferences to create a customized design that enhances natural beauty.
Cerec CAD CAM System
Our state-of-the-art Cerec CAD CAM technology enables us to design and fabricate veneers with unprecedented precision. This computer-aided design and manufacturing system ensures perfect fit, optimal aesthetics, and reduced treatment time.
Water Laser Technology
For patients requiring minimal tooth preparation, our Water Laser technology provides a virtually pain-free experience. This advanced laser system allows for precise, conservative tooth preparation while maintaining maximum tooth structure.
Intraoral Scanner
Our digital intraoral scanners eliminate the need for traditional impressions, providing a more comfortable experience while capturing incredibly detailed digital models for veneer fabrication.
Book your consultation today
Lumineers - The Ultra-Thin Solution
The Whity Advantage in Veneer Treatment
- Exceptional Durability Our veneers are designed to last for decades with proper care, providing patients with a long-term investment in their smile and confidence.
- Natural Appearance Using the finest porcelain materials and advanced fabrication techniques, our veneers achieve a natural translucency and color that perfectly mimics tooth enamel.
- Minimally Invasive Our conservative approach preserves maximum tooth structure while achieving dramatic aesthetic improvements.
- Stain Resistance High-quality porcelain veneers resist staining from coffee, tea, wine, and other common culprits, maintaining their beauty for years.
- Immediate Results Patients leave our office with a completely transformed smile that enhances their confidence and quality of life.
- Customized Design Every veneer is individually designed to complement the patient's unique facial features and aesthetic preferences.
Your Journey to a Perfect Smile
- Comprehensive Consultation Your veneer journey begins with an in-depth consultation where we discuss your goals, evaluate your current smile, and determine the best treatment approach for your unique needs.
- Digital Smile Design Using advanced imaging technology, we create a detailed digital preview of your new smile, allowing you to see and approve your results before treatment begins.
- Preparation and Impressions Minimal tooth preparation is performed when necessary, followed by precise digital impressions that capture every detail needed for veneer fabrication.
- Temporary Veneers While your permanent veneers are being crafted, we provide beautiful temporary veneers to protect your teeth and maintain your appearance.
- Veneer Placement Your custom veneers are carefully bonded to your teeth using advanced adhesive techniques, ensuring a secure, long-lasting bond.
- Final Adjustments We make any necessary fine-tuning adjustments to ensure perfect fit, comfort, and aesthetics.
- Care Instructions We provide comprehensive care instructions and schedule follow-up appointments to ensure the longevity of your new smile.
Veneers & Lumineers Cases













