- Fifth Settlement • Sheikh Zayed •
- Nasr City • Mohandessin • Asyut
Who We Are
24+
Years of Excellence
5
Premium Locations
Meet Dr. Mohamed Emad
Meet the Maestro Behind the Magic
Dr. Mohamed Emad, The Maestro of Dentistry, has spent over 20 years redefining dental care in Egypt and the Middle East. After excelling in his studies and training in the U.S., he became a member of the American Academy of Cosmetic Dentistry.
In 2001, he founded Whity Dental Centers, introducing advanced technologies and a new standard of luxury care. His dedication and innovation earned him the Rose of Paracelsus award. Today, with five branches across Egypt, Whity is a leader in excellence and smile transformations.
Comprehensive Excellence in Every Smile
Our Services
Why Choose Whity Dental Centers
The Whity Difference
American Academy Credentials
As a distinguished member of the American Academy of Cosmetic Dentistry, Dr. Emad brings internationally recognized standards of excellence to every treatment.
24+ Years of Mastery
Dr. Mohamed Emad's extensive experience spans over two decades, during which he has continuously refined his techniques and expanded his expertise to remain at the cutting edge of dental innovation
Cutting-Edge Technology
Our clinics feature the most advanced dental technologies available, including Digital Smile Design, Cerec CAD CAM systems, Water Laser technology, and Intraoral Scanners.
Book your consultation today
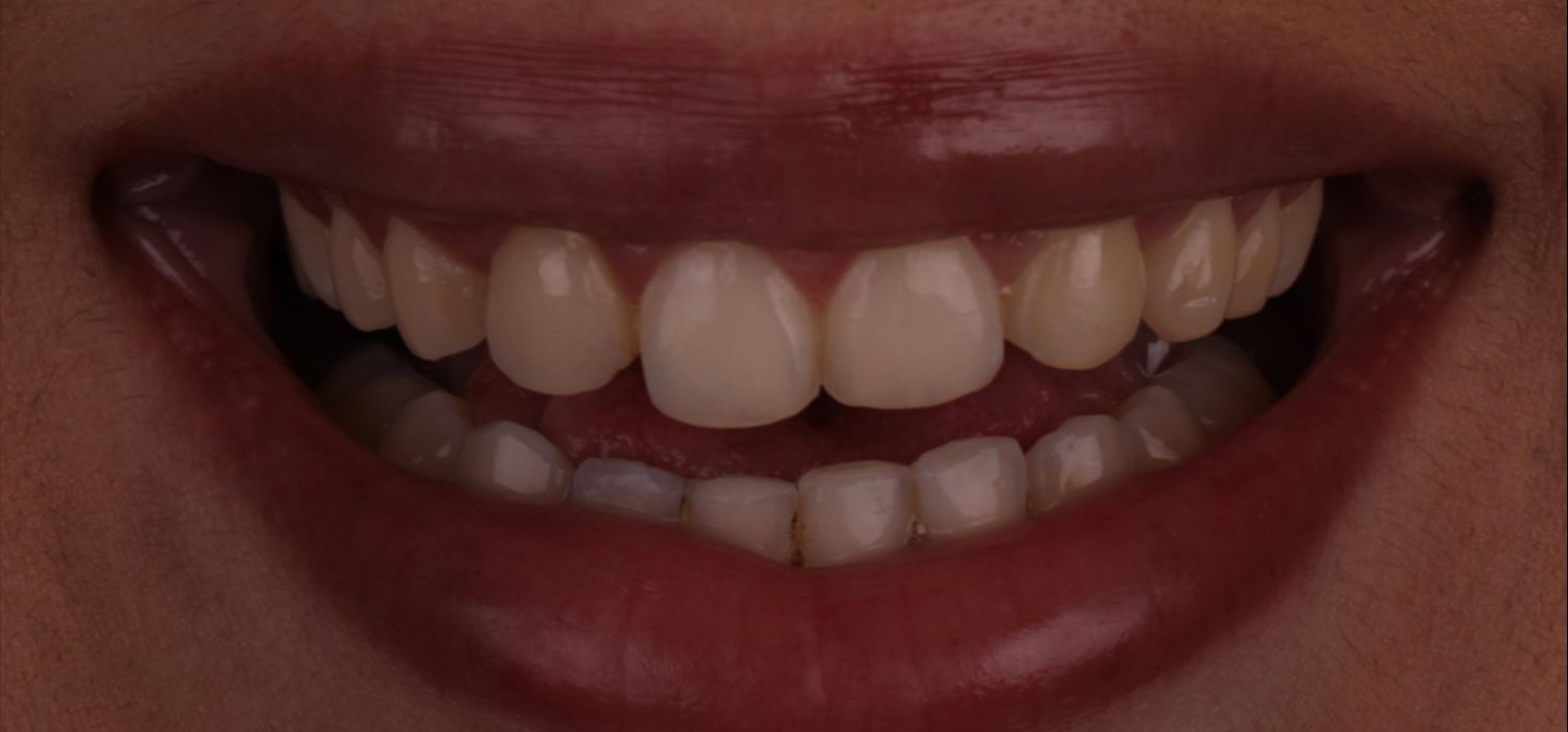
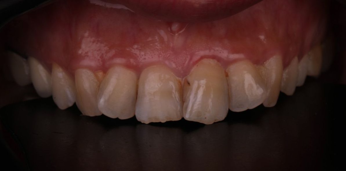
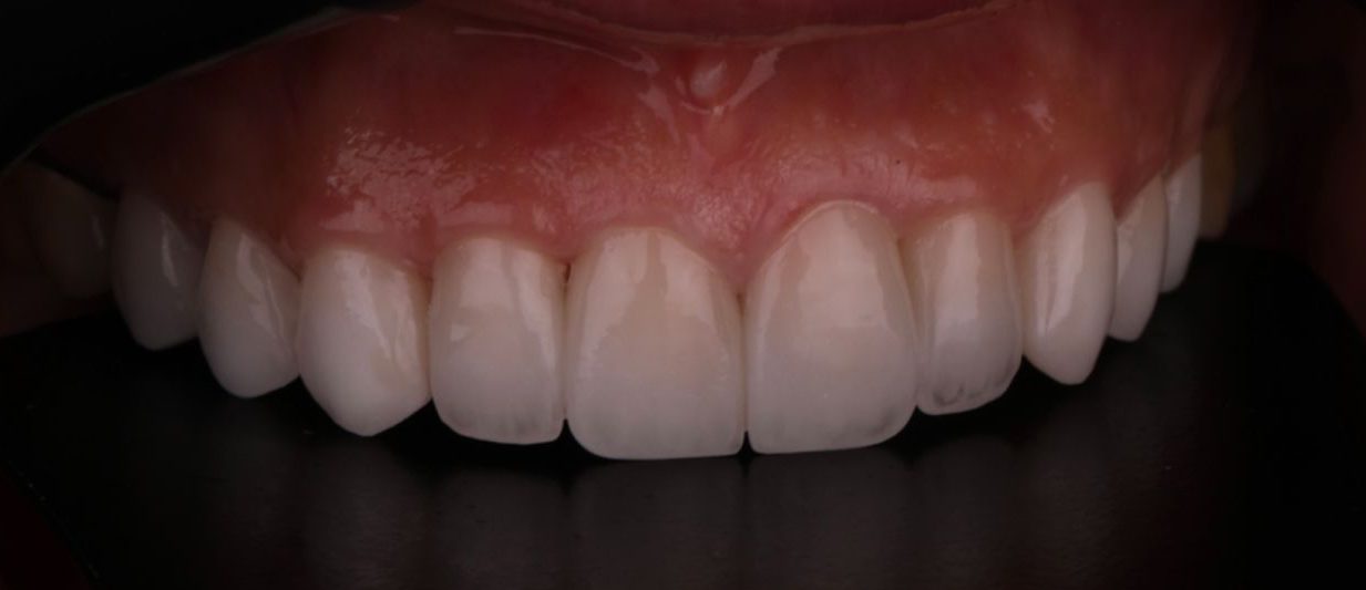
Before & After - Transforming Smiles
Transforming Lives, One Smile at a Time




The best experience ever with the best team in the whole world, thank you for everything 🦷❤❤
Professional doctores and best service ever. Special thanks for dr. Mohamed emad
بجد المكان دا غير فكرتي عن دكاترة الاسنان جربت اماكن كتير لحد ما حد رشحتي المكان دا بجد شكرا ❤️❤️❤️
شكرا مايسترو علي كل حاجة من اول المعاملة لحد العلاج حقيقي اسناني بقت في حالة ممتازه جدا بعد ما كانت سيئة ♥️
Schedule your visit online
Ready for Your Dream Smile?
